
なんともオシャレな佇まいです。
僕の知ってる「TUTAYA」ではありません、、、
なるほど、オシャレタウン代官山では「蔦屋書店」なんですね。
僕の持ってるTポイントカードは使えるんだろうか?と不安になりましたが普通に使えて良かったです。
その後、向かいにあるカフェ・ミケランジェロでまったりと過ごしてきました。
まだまだ関東には知らないところがいっぱいあります。
関東2年目はもう少しいろんな街に行きたいと考えております。
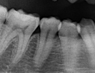
【お口の悩みQ&A】
Q.歯間ブラシって必要ですか?糸ようじだけではダメですか?
A.画像を見たらわかる通り、歯と歯の間には隙間があります。
また、画像を見てもらったらわかると思いますが、歯はくびれています。
実際に糸ようじで隙間の部分を綺麗にしようとしても中々くびれの部分まで綺麗にするのは困難です。
よってより効果的に汚れを取るために歯間ブラシは効果的だと考えられます。
虫歯、歯周病予防を考える上で歯間ブラシはなくてはならない存在です。]]>


